液基细胞学检查在诊断宫颈病变中的临床应用
艾白媛
山东中医药大学附属医院妇科 250011
【摘 要】 目的 探讨液基细胞学(TCT)配合阴道镜检查对诊断宫颈病变的临床价值。方法 20##年1月到7月间,对2200例患者进行液基细胞学检查,对其中34例细胞学提示阳性者行阴道镜下活组织病理检查,细胞学诊断采用TBS分段系统。结果 共检出阳性涂片34例,占1.54% ,其中不典型鳞状细胞(ASCUS)18例,占0.81%;低度鳞状上皮内瘤变(LSIL)9例,占0.41%;高度鳞状上皮内瘤变(HSIL)6例,占0.12%;鳞状上皮癌(SCC)0例,腺癌(AC)0例。与阴道镜下活组织病理诊断符合率分别为LSIL94.4% ,HSIL100% 。结论 生育年龄段(20~50岁)的妇女,应定期进行液基细胞学检查,可早期发现宫颈病变,细胞学阳性者应配合阴道检查及镜下活检病理诊断,以便进一步明确诊断,早期治疗。
【关键词】 液基细胞学 阴道境 宫颈病变 宫颈癌
在世界范围内,宫颈癌是严重威胁妇女健康的第二位恶性肿瘤,仅次于乳腺癌,尤其在发展中国家其死亡率持续处于女性恶性肿瘤死亡率的首位。预防宫颈癌可以通过早期筛查和早期干预来实现。高效合理的宫颈细胞学检查是降低宫颈癌发病率和死亡率的关键。应用巴氏涂片筛查宫颈癌已有50余年历史,该方法的应用减少了70%的宫颈癌死亡率,然而其假阴性率高达10%~20%。[1]故宫颈巴氏涂片法和巴氏分级法因其存在的低检出率、假阴性和假阳性以及不满意涂片率居高不下,日益受到临床医生的质疑,已不能适应现代临床妇科学和细胞病理学协调发展的需要,逐渐被液基细胞学技术所取代,其中Thinp rep液基细胞学技术(TCT)因诊断可靠而成为国内外妇产科和病理科的推荐宫颈细胞学检查方法之一,配合阴道镜检查及在镜下活组织病理诊断,更加明显提高了宫颈癌及癌前病变的检查率,有利于预防宫颈癌的发生,从而使患者得到早期发现、早期诊断及早期治疗。现将本院20##年1月~20##年7月间2200例TCT检查结果总结分析如下。
1 资料与方法
1.1 研究对象 从20##年1月至20##年7月,对我院妇科门诊行TCT检查2200例选择无宫颈锥切和无全宫切除病史的妇女进行膜式液基细胞学标本采集,年龄18~70岁,平均36.5岁。
1.2 方法 用特制的宫颈(管)刷收集宫颈外口及颈管的脱落细胞,并收集的细胞立即洗入盛有Thinprep保存液的小瓶中,经Thinprep2000系统程序化处理,黏液、炎症细胞与上皮细胞分离,经高精密度器过滤,制成直径2mm的薄层细胞涂片,95%酒精固定,巴氏染色。
1.3 诊断标准 细胞学诊断采用伯塞斯达系统(TheBathesda system,TBS)[2]:TBS主要报告结果是,正常范围(within normal limits ,WNL),未明确诊断意义的不典型鳞状细胞(atypical squamous cells of undetermined signif2icance ,ASCUS) ,低度鳞状上皮内瘤变(low grade squa2mous intraepitraelial lesion ,LSIL) ,高度鳞状上皮内瘤变(high grade squamous intraepitraelial lesion ,HSIL) ,和鳞状细胞癌(squamous ceii carcinoma,SCC) 。腺上皮不正常为未明确诊断意义的不典型腺细胞(atypical glandularcells of undetermined significanec,AGUS)和腺癌(Adeno2carcinoma,AC)。
为统一细胞学和组织学的诊断术语,根据TBS系统LSIL即CIN1,HSIL包括CIN2和CIN3。细胞学阳性诊断包括ASCUS以上病变。
1.4 阴道镜检查及病理检查 发现细胞学异常者,给予行阴道镜检查,并在镜下取组织活检送病理检查,以了解TCT检查与病理检查结果的符合情况。
2 结果
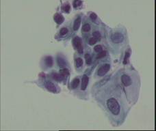
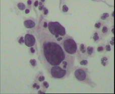
2.1 液基细胞学检查的一般情况 在细胞学检查2200例中,除3例标本不满意外(即标本中上皮细胞少于10%,血液黏液较多),以2197例受检标本纳入分析,标本满意率为99.86%。正常范围(如图1)及良性反应性细胞改变1939例(88.25%),其中提示霉菌感染(如图2)176例,滴虫感染(如图3)27例,细菌性感染(如图4)18例,HPV感染(如图6)6例,有34例ASCUS以上阳性细胞学诊断。
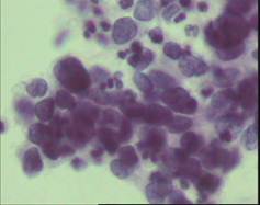
2.2 液基细胞学阳性结果与阴道镜下活检结果比较细胞学检出异常者34例,阳性检出率为1.54% ,其中不典型鳞状上皮细胞(ASCUS如图5)18例(0.81%),低度鳞状上皮内病变(LSIL如图6)9例(0.41%),高度鳞状上皮内病变(HSIL如图7、8)7例(0.32%),鳞状上皮癌(SCC)0例,不典型腺细胞(AGUS)0例。与阴道镜下活组织病理诊断符合率分别为LSIL94.4% ,HSIL100% 。细胞学阳性者在阴道镜下活检病理结果比较见表1。
表1 细胞学阳性者与阴道镜下活检病理结果比较例
2.3 液基细胞学阳性者年龄分布情况 本文资料中提示液基细胞系阳性的病例发病年龄22~84岁之间,平均为36.6岁。20~35岁的妇女为宫颈病变(CIN)的高发阶段,占58.8%(20/34),见表2。
表2 细胞学阳性者年龄分布情况例
3 讨论
3.1 液基细胞学在诊断宫颈病变的临床应用价值
宫颈癌是妇女的常见病和多发病,在当今妇女恶性肿瘤中为发病率最高的一种,巴氏涂片检查作为一种宫颈癌的筛查方法应用已半个世纪,对宫颈癌的防治做出了重要贡献,但巴氏涂片的敏感度远不能达到实际要求。科学研究表明,妇女定期进行宫颈液基细胞学检查是预防宫颈癌的最有效方法。液基细胞学检查是采用Thinprep法将宫颈内、外细胞刷洗在装有酒精缓冲固定液的容器中,经系统程序化处理,诊断性细胞均匀分布在样本中,这是该系统的有效关键步骤,不仅使取材器上的标本几乎得到了保留,而且避免了常规刮片中因黏液、血液及炎症细胞的遮盖导致漏诊,制成均匀的薄层涂片,而且成分齐全,结构清晰,背景干净,异常的细胞容易被观察和发现。[3]与常规制样方法比较,薄层液基细胞学改善了样本的收集率,并使细胞均匀地分布在玻片上,提高了发现低度和高度病变的敏感度,尤其是高度病变,较传统的巴氏涂片,明显提高了阅片专业人员的劳动强度。所以,液基细胞学检查对诊断宫颈病变是一种可靠性较高的检查方法。
3.2 宫颈细胞学阳性者应做阴道镜检查 阴道镜是一种内窥镜,原理是在强光源下用放大镜直接观察宫颈和下生殖道上皮的病变,是早期诊断宫颈癌及癌前病变的重要辅助方法之一,当临床可疑或细胞学检查异常时往往建议进行阴道镜检查。[4]本组2200例Thinprep液基细胞学检查系统中,发现细胞学异常者34例,检出率为1.54%,同时对异常者给予阴道镜检查并在镜下取活检组织病理检查,以进一步作出诊断。
病理结果显示:ASCUS18例中,CIN1~2级共4例,占22.2%;LSIL8例CIN1~2级1例,占11.1%;HSIL7例全部为CIN3级,符合率100%。所以液基细胞学检查应用于宫颈病变能明显提高宫颈异常细胞的检出率,且敏感度高,尤其是液基细胞学与阴道镜联合应用可减少假阴性的发生,并显著提高CIN和宫颈癌的早期诊断率。阴道镜检查可发现肉眼看不见的亚临床病变,并在可疑病变处定位活检,从而提高活检的阳性率和诊断的准确率。经过大量的对比性研究,人们认识到细胞学与阴道镜是互补的两种检查方法,细胞学为实验室诊断方法,阴道镜是临床诊断方法。
3.2 宫颈细胞学检查的临床意义
随着宫颈癌病因学的研究和发展,其防治方法也在不断地提高和发展,液基细胞学检查是细胞学发展的一种现代新技术,是预防和筛查宫颈癌的重要手段。宫颈癌在女性中的发病率仅次于乳腺癌,位居第二。统计显示,我国每年新发病例13115万,约占全世界新发病例的1/3。[5]以往资料显示,妇女在30岁以后开始进入宫颈癌的发病时期。虽然宫颈癌的发病率高,但早期宫颈癌治愈率很高。医学统计表明:早期宫颈癌如能及时发现并治疗,治愈率可达90%以上。即使到了晚期,如果能恰当治疗,其5年存活率也能达到80%。[6]文献报道宫颈癌的发生和发展是一个渐进过程,其演变时间从几年到十数年不等,宫颈癌与人乳头状瘤病毒(HPV)感染有明确关系。通过对宫颈HPV感染者进行前瞻性研究,发现宫颈感染HPV16/18型者,在1年内有1/3将会发展为宫颈上皮内瘤样病变(CIN),而CIN中约有15%将会发展为宫颈癌。[7]宫颈癌前病变是一个相对较长时间的过程,这使得干预和治疗成为可能,关键在于普查,尽早发现和处理,坚持常规妇科普查、早期发现、及时治疗,这对预防宫颈癌和降低死亡率至关重要。
本文通过对患者年龄分布情况发现:宫颈细胞学异常34例中,年龄最小22岁,最大84岁,其中31~35岁10例,占29.4%;35岁以下共有20例,占58.8%;本组资料显示20~35岁年龄段的年轻妇女是宫颈低度病变(LSIL)的高发阶段,而35~50岁妇女是宫颈高度病变(HSIL)及宫颈癌的高发阶段,从而提示早期宫颈病变(CIN)以年轻妇女患者居多,应引起临床高度重视。临床实践证明液基细胞学普查可以降低宫颈浸润癌的发生和死亡。[8]据报道宫颈浸润癌的5年生存率是67%,宫颈早期癌是90%,而宫颈原位癌则几乎达100%。[9]所以,提倡有3年以上性生活或20岁以上有性生活的妇女应每年进行一次细胞学检查,尤其是对于宫颈重度糜烂、接触性出血、宫颈湿疣以及有多个性伴侣或经常有不洁性生活的高危妇女人群更应注意筛查,使她们了解宫颈癌的危险因素和早期信号,自觉定期进行妇科检查和细胞学检查,以得到早期发现、早期诊断、早期治疗,降低宫颈癌的发病率和病死率,提高广大妇女的生活质量。
参考文献
1.Savage EW ,Chapman G. Cervical dysplasia and cancer.In : Hacker NF,Moore J G. Essentials of Obstetrics andGynecology. 3rd ed.Philadelphia:Saunders,1998:654
2.National Cancer Institute. The 1998 Bethesda Systemfor reporting cervical/
vaginalcytological diagnoses. JAMA,1989,262:931
3.Papillo JL,Zarka MA,John PL.Evaluation of the Thinprep Pap test in clinical practice:aseven months,16314-case experience in northernVer2 rmont.Acta Cytologica ,1998,42(1):203
4.Hutchinson ML,Isenstein LM ,Goodman A ,et al. Homo2geneous sampling accounts for the increased diagnostic ac2curacy using the ThinPrep Processor ,Am J Clin Pathl,1994,101(2):2152219
5.吴爱如.宫颈癌的早期诊断.中国肿瘤,1994,3(3):11
6.钱德英.阴道镜在宫颈癌诊断中的应用.中国实用妇科与产科杂志,2003,19(3):137
7.岑坚敏,钱德英,黄志宏,等.阴道镜对宫颈上皮内瘤变的诊断价值. 中国实用妇科与产科杂志,2003,4(19):215(收稿日期:20##-05-20 编辑:吴淑金)广东医学 20##年4月第26卷第4 期·543·
8.林志新. 液基超薄宫颈细胞涂片2011例临床分析.中国实用妇科与产科杂志,2003,19 (10):5992602
9.潘秦镜,李凌,乔友林,等.液基细胞学筛查宫颈癌的研究.中华肿瘤杂志,2001,23(4):309
xiaoyan5885@yahoo.com.cn
作者简介:艾白媛,女,主管护师,出生于山东济南,于山东中医药大学附属医院从事护理及妇科检验工作近20年,具有丰富的临床经验。
地址:济南市文化西路42号山东中医药大学附属医院妇科 邮编:250011
附录:
图1:正常细胞 图2:霉菌感染

图3:滴虫感染 图4:细菌性感染

图5: ASCUS 倾向高度病变 图6:LSIL-HPV

图7:HSIL 图8:HSIL
